This week I’d like to introduce you to two Rescue Ranch dogs who desperately need a new lease on life. The first is Sugar, our beloved Pyrenees nanny dog. The second is Gabe, a young malinois pup who’s still waiting for his forever family. Both dogs are recovering from painful injuries requiring expensive surgery. Their combined cost of care is $8,000 or more–and this at a time when our funding is desperately low. You can make a difference for Sugar, Gabe, and other dogs in need of high-cost medical care. Give to Kitu’s Fund today!
Sugar: A four-legged staff member
Sugar came to the Ranch as a cherished member of Karen Topping’s furry family and found her niche as a nanny dog extraordinaire. She arrived at a time when puppy adoptions were slowing, leaving dozens of adolescent pups to grow up at our Sanctuary. It was a match made in heaven: they needed socialization and supervision and Sugar needed someone to watch over. Her maternal wisdom makes her a perfect puppy guardian. She’s truly a staff-member–albeit paid in kibbles and kisses. In fact, Sugar is so good at her job that we rescued several other pyrenees to follow her example!
Unfortunately, Sugar has been working a little too hard. She’s a hefty girl, and what began as a limp soon developed into a torn ACL in her right knee. The price tag for her surgery came to $5,000. For now, Sugar is taking a leave of absence from her duties and is on a strict regimen of rest while she heals. It’s imperative she stay calm because there’s a 70% chance that she’ll injure her second knee during convalescence.
Sugar is a one-in-a-million dog. The first time I met her, she was snoozing in the puppy yard while her charges played around her. She jumped up, gave me a swift once-over, then welcomed me with a wagging tail and a nudge of her big white muzzle. She’s so gentle I have to remind myself that she’s a guardian. She’s an indispensable member of our team and we miss her. Get well soon, sweet Sugar!
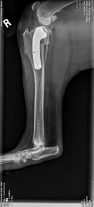
Gabe: An injured stray in need of high-cost medical care
Gabe first came to the Ranch when our new Adoption Center manager, Tricia, was working for the county animal shelter. Tricia was delivering dogs to the Sanctuary when she received a call from the field about a badly injured puppy. Our traveling vet was actually at the Sanctuary that day so operations manager Laura Finley encouraged the officer to bring the puppy over for immediate assessment.
The puppy turned out to be a very sweet malinois mix, about 5 months old. He was limping but it was not a recent injury–he’d probably been hit by a car and left to shift for himself. Follow-up X-rays revealed a broken pelvis that had already started to heal. The vet recommended we keep him calm and build up his strength gradually. So Laura settled the pup, dubbed Gabe, into her own home.
Sadly, Gabe’s mobility has worsened rather than improved. He’s clearly in pain, and a second set of x-rays show that his pelvis has healed crookedly, impeding his mobility. At this point his hind leg is only in the way. Amputation is Gabe’s best option for a pain-free life. The surgery will cost at least $3,000 if it goes as planned.
We know Gabe will adjust quickly to life on three legs. He’s a friendly, social pup who gets along with everyone. He’s remarkably chill and will be a wonderful companion for anyone who wants the malinois temperament without the high energy. We’re honored to give Gabe the high-cost medical care he needs so he can live with joy.
Kitu’s Fund is critical for dogs who need high-cost medical care
We’re passionately committed to providing high-cost medical and emergency care for dogs in need. Kitu’s Fund enables us to do just that, but funds are low and we’re struggling to make ends meet.
- In 2025, we spent over $244,000 for regular veterinary care, including spay/neuter and vaccines
- We spent another $91,000 plus for emergencies and life-threatening medical conditions
We desperately need your support so we can give Sugar, Gabe, and many more innocent dogs the second chance they deserve.
Help us continue to “Do it for the Dogs.” Give to Kitu’s Fund today!












